Имплантация зубов с применением
передовых систем лечения
премиум-класса в Москве

звонок бесплатный 8 (495) 125-00-13

Заказать звонок

Имплантаты, виниры, коронки

Запишитесь на бесплатный (вместо 2 500 руб.) приём
специалиста международного уровня!

  • более 6000
    красивых улыбок
  • опыт работы
    более 15 лет
  • 38
    сертификатов
Записаться на консультацию

Стоимость услуг

  • Имплантаты

    Подробнее
  • Виниры

    Подробнее
  • Коронки

    Подробнее

Наши работы

Индивидуальные особенности, частичное отсутствие зубов.

Решение:

установлены имплантаты, циркониевые коронки.

Больше фото этой работы

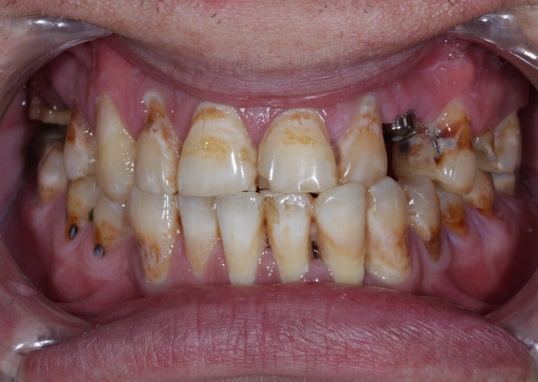
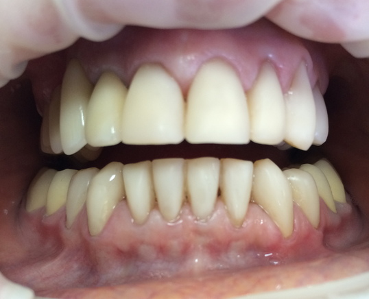
Патологическая стираемость, дефекты цвета и формы зубов.

Решение:

установлены металлокерамические коронки и мосты.

Больше фото этой работы

Частичное отсутствие зубов.

Решение:

установлены металлокерамические коронки.

Больше фото этой работы

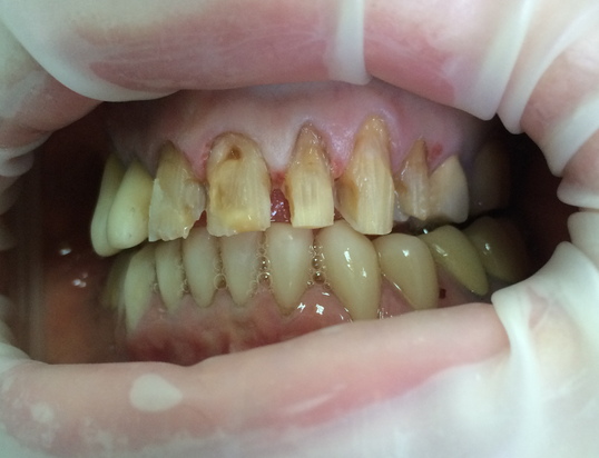
Множественный кариес с явлениями пародонтоза. Отсутствие зубов.

Решение:

установлены коронки и мосты на основе оксида циркония.

Больше фото этой работы

Полное отсутствие зубов на верхней и нижней челюстях.

Решение:

изготовлены съемные протезы «Акри Фри».

Больше фото этой работы

Измененные цвет и форма верхних зубов.

Решение:

установлены виниры Emax.

Больше фото этой работы

Полное отсутствие зубов нижней челюсти. Плохая фиксация ранее установленного протеза.

Решение:

установлены два имплантата. Фиксация протезов на замках.

Больше фото этой работы

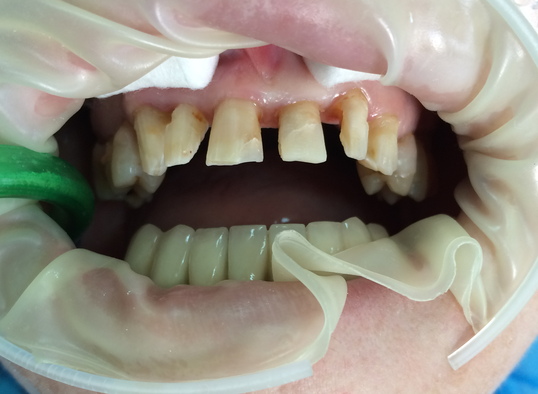
Дефект твердых тканей зубов. Множественные пломбы. Отсутствие зубов.

Решение:

установлены металлокерамические коронки и мосты.

Больше фото этой работы

Дефект зубов.

Решение:

установлены металлокерамические коронки.

Больше фото этой работы

Множественный кариес.

Решение:

реставрация композитными материалами непосредственно в полости рта (прямые виниры). Время работы – 2 часа. Бюджетная стоимость.

Больше фото этой работы

Кариозная полость.

Решение:

вкладка из прессованной керамики Emax.

Больше фото этой работы

Частичное отсутствие боковых зубов на нижней челюсти. Невозможность установки мостовидного протеза.

Решение:

установка имплантатов, металлокерамические коронки.

Больше фото этой работы

Множественный кариес, старые пломбы.

Решение:

прямая реставрация пломбировочным материалом, зубы облицованы за одно посещение. Бюджетная стоимость.

Больше фото этой работы

Отсутствие зубов на верхней и нижней челюсти, плохие условия для фиксации и стабилизации нижнего протеза.

Решение:

изготовлены два полных съемных протеза «Акри Фри», установлены три имплантата на нижнюю челюсть. Фиксация протеза на замках-локаторах.

Больше фото этой работы

Полное отсутствие зубов на верхней и нижней челюсти.

Решение:

установлены четыре имплантата по системе «All-on-for». Изготовлен полный съемный протез на верхнюю челюсть. Изготовлена несъемная металлокерамическая конструкция с винтовой фиксацией на имплантаты на нижнюю челюсть.

Больше фото этой работы

Эстетический дефект в верхних зубов.

Решение:

установлены виниры Emax.

Больше фото этой работы

Полное отсутствие зубов на верхней челюсти и частичное на нижней.

Решение:

установлены металлокерамические коронки на нижнюю челюсть и протез «Акри Фри» на верхней.

Больше фото этой работы

Множественный кариес.

Решение:

реставрация композитными материалами непосредственно в полости рта (прямые виниры). Время работы – 2 часа.

Больше фото этой работы

Мягкие и твердые зубные отложения.

Решение:

ультразвуковая чистка, AirFlou.

Больше фото этой работы

Отсутствие зубов на нижней челюсти слева.

Решение:

установлены имплантаты. Металлокерамические коронки.

Больше фото этой работы

Разрушение и частичное отсутствие зубов на верхней челюсти.

Решение:

установлены металлокерамические коронки.

Больше фото этой работы

Циркониевые коронки.

Больше фото этой работы

Виниры E-max.

Больше фото этой работы
Посмотреть все работы
Записаться на приём

Почему стоит обратиться именно к нам?

  • Приём в день обращения

    Вы можете выбрать удобное время для записи

  • Бесплатный осмотр

    Осмотр полости рта хирургом-стоматологом
    (0 руб. вместо 2 500 р.)

  • Консультация

    Вы получаете подробную консультацию по установке имплантатов, виниров, коронок

  • Фиксация цены

    Полный расчёт стоимости лечения с фиксацией цены

  • Рассрочка

    Лечение в рассрочку без процентов и переплат (оформление на месте)

  • Качество

    Мы используем только качественные материалы, а также имплантаты
    с неограниченным сроком службы

  • Ваше здоровье

    Вы находитесь под наблюдением врача в течение 6 месяцев после лечения

  • Профессионализм

    У нас работают только дипломированные специалисты

Записаться на приём

Наши специалисты

  • +

    Шубных Максим

  • +

    Чебуздина Юлия

  • +

    Кравченко Ирина

  • +

    Молчанов Вадим

  • +

    Романов Дмитрий

  • Необходима консультация наших специалистов?

    Оставить заявку

Услуги

Протезирование

Задать свой вопрос

Имплантация

  • Показания

    Полное или частичное отсутствие зубов.

  • Комплексная диагностика
    и планирование

    Компьютерная томография, выявление индивидуальных особенностей костной ткани. Составление и согласование хирургического и ортопедического этапов лечения.

  • Безболезненная
    установка имплантатов

    Современные технологии позволяют установить имплантат безболезненно за 20-30 минут.

  • Приживление
    имплантата

    3-6 месяцев по классическому протоколу. Возможно одномоментное изготовление коронки.

  • Установка
    коронки

    К имплантату фиксируется коронка. Внешне имплантированный зуб не отличить от натурального.

Задать свой вопрос

Мы работаем с материалами:

Мы сотрудничаем с мировыми лидерами в производстве материалов и оборудования

  • Nobel Biocare

    Компания Nobel Biocare предлагает широкий ассортимент дентальных имплантатов

  • AlphaBio

    Более 25 лет компания Alpha-Bio Tec является лидером в разработке и производстве имплантатов, ортопедических компонентов, биоматериалов и стоматологических хирургических инструментов

  • MIS

    Компания MIS с 1995 года разрабатывает, производит и продает широкий диапазон дентальных имплантатов, супраструктур и костнозамещающих материалов

  • OSSTEM

    На сегодня компания OSSTEM занимает около половины рынка стоматологических имплантатов в Южной Корее и находится на пятой строчке в рейтинге компаний-производителей имплантатов.

  • AlfaDent

    Alpha Dent Implants поддерживает систему тщательного контроля качества своей продукции, соответствующей всем требованиям основных стандартов в этой области: стандарту ISO 13485 и стандарту ISO 9001.

Наши отзывы

  • Видео отзыв здесь

    Инна Андреевна

    «... Я всегда лечусь у Максима Шубных, он всегда справляется с любыми, даже очень сложными случаями...»

  • Видео отзыв здесь

    Ирина Васильевна

    «... Мы всей семьёй лечим зубы у Шубных Максима Сергеевича, это настоящий профессионал.»

  • Видео отзыв здесь

    Валерий Гусман

    «... Стоматолог Максим Шубных меня прямо к жизни вернул - хоть орехи грызи!»

  • Видео отзыв здесь

    Леонид Федорович

    «...Спасибо! Я буду рекомендовать своим друзьям и знакомым обращаться к Вам!»

  • Видео отзыв здесь

    Алёна Владимировна

    «У моего сына было разрушено два зуба, Вы ему их оба спасли, хотя в другой клинике ему сказали, что один точно идёт под удаление, второй - под вопросом. Спасибо Вам.»

  • Видео отзыв здесь

    Марина Цветкова

    «Я имплантации боялась как огня, однако, операция продлилась всего 30 минут, Максим Сергеевич сделал всё быстро и аккуратно...»

Вопросы, которые вы не задали, а зря!

  • Болезненна ли процедура имплантации?

    Обычно процедура безболезненна. Чаще всего пациент ощущает вибрацию и некоторое давление, но не более того. Большинство пациентов во время имплантации чувствуют то же, что и при лечении кариеса.

  • +Сколько визитов к врачу необходимо для полного лечения?

    Все зависит от объема и вида лечения. В любом случае, первое посещение – это всегда консультация стоматолога, осмотр, назначение диагностических процедур.

    В следующий прием врач оценит полученные результаты исследований и составит план лечения. Если число имплантатов небольшое, то они могут быть установлены за одно посещение одновременно.

    Через 1-2 дня после операции Вам необходимо будет посетить врача для осмотра и контроля заживления раны. Через 7-10 дней — визит для снятия швов.

    Далее следует длительный промежуток в несколько месяцев, в течение которого имплантат приживается, и посещать стоматолога можно только по необходимости.

    Когда наступит время протезирования, необходимо будет совместно с врачом составить план посещений, который зависит от сложности требуемых конструкций.

  • +Буду ли я «без зубов» в процессе лечения?

    Нет. Если до имплантации у Вас были съемные зубные протезы, то Вы сможете ими пользоваться и после операции в период приживления имплантатов и в течение изготовления новых конструкций.

    Если до имплантации у Вас не было съемных протезов, или Вам установили имплантат сразу после удаления зуба, то возможно изготовление временных коронок или временных съемных конструкций, которые закроют дефект зубного ряда и, практически, не будут отличаться от ваших зубов.

  • +Как и когда устанавливается искусственный зуб на имплантат?

    Обычно полное приживление имплантата наступает через 4-6 месяцев после операции на верхней челюсти и через 3-4 месяца на нижней челюсти. После этого можно начинать протезирование.

    Стоматолог снимает слепок (оттиск) с Ваших зубов, выбирает вместе с Вами цвет и форму будущего протеза, после чего отправляет заказ в зуботехническую лабораторию. Там на гипсовых моделях Ваших челюстей изготавливается необходимый Вам протез (коронка, мостовидный или съемный протез).

    Иногда перед тем, как окончательно зафиксировать конструкцию на имплантаты стоматологу необходимо примерить промежуточный вариант работы, чтобы затем что-то еще раз откорректировать в лаборатории и добиться идеального результата.

  • +Каков срок годности имплантата?

    В случае если имплантат установлен правильно, и его приживление прошло успешно, а ортопедическая конструкция, установленная на имплантат, распределяется равномерно, то он может прослужить Вам всю жизнь. Для этого необходим качественный уход за ним. Ведь имплантату и искусственной коронке не страшен кариес!

    Однако микробы страшны деснам и костной ткани. При некачественной чистке зубов велик риск развития пародонтоза, за которым следует атрофия костной ткани и «оголение» верхней части имплантата.

  • +Есть ли противопоказания к имплантации в пожилом возрасте?

    Ограничений к имплантации по возрасту нет (в случае отсутствия серьезных заболеваний внутренних органов и систем). Если у пациента нет общих медицинских противопоказаний к имплантации, то установить имплантаты можно и в 60, и в 80, и даже в 90 лет.

  • +Нужен ли общий наркоз при проведении операции имплантации?

    Нет, общий наркоз не требуется. Выполняется обычная местная анестезия («укол»), как и при обычном лечении зуба.

  • +Через какое время после имплантации я смогу вернуться на работу?

    Как показывает практика, уже на следующий день после процедуры Вы будете в полном порядке и сможете приступить к работе.

Наши лицензии

  • Лицензия 1
  • Лицензия 2
  • Лицензия 3
  • Сертификат

  • Сертификат

  • Сертификат

  • Сертификат

  • Сертификат

  • Сертификат